Publié le 6 décembre 2018–Mis à jour le 6 décembre 2018
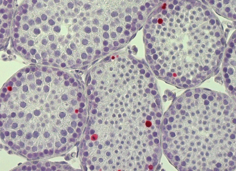
Coupe de de testicule de souris avec détection des cellules en apoptose (mort cellulaire) par méthode TUNEL
Un texte de la Minute Recherche par David Volle (GReD, unité mixte de recherche Inserm, CNRS, Université Clermont Auvergne).
Les acides biliaires (notés ABs) sont majoritairement produits à partir du cholestérol dans le foie et sécrétés dans la bile après le repas, jouant ainsi un rôle important dans la digestion.
Cependant depuis plusieurs années, les ABs sont apparus comme de véritables molécules de signalisation agissant via deux récepteurs principaux, le récepteur membranaire TGR5 et le récepteur nucléaire FXRα (Farnesoid-X-Receptor). Des modèles murins ont en effet montré leur rôle dans la régulation des fonctions testiculaires telles que la production des hormones et la production de spermatozoïdes. L’augmentation des taux d’ABs est ainsi associée dans les modèles expérimentaux à l’apparition de troubles de la fertilité masculine.
Cependant nous disposons de peu de données concernant cette action majeure des ABs au sein du testicule et la régulation de leur homéostasie au niveau testiculaire.
Notre étude montre de manière inattendue qu’une synthèse d’ABs est présente au niveau du testicule. Ainsi, les souris mâles dont le gène codant FXRα a été inhibé (souris Fxrα-/-), présentent une altération du métabolisme des acides biliaires testiculaires.
De manière intéressante, les souris mâles Fxrα-/- soumises à un régime alimentaire supplémenté en acides biliaires, présentent des altérations des fonctions testiculaires ainsi que de la production de spermatozoïdes. Cette réponse inattendue au régime supplémenté en ABs suggère qu’en l’absence de FXRa, les acides biliaires agissent via un autre récepteur. Nous avons pu corréler les phénotypes observés chez les souris FXRa-/- avec les troubles de l’homéostasie des ABs et notamment la production testiculaire de précurseurs d’acides biliaires agissant via le récepteur CAR (Constitutive-Androstane-Receptor). Ce dernier est principalement décrit comme un récepteur impliqué dans les processus de détoxication notamment des molécules exogènes telles que les pesticides.
Cette étude ouvre de nouvelles perspectives pour établir les causes (génétiques ou métaboliques) d’infertilités masculines.
Autre laboratoire partenaire :
Academic Medical Center, University of Amsterdam, Lab. Genetic Metabolic Diseases, F0-224, P.O. Box 22700, 1100 DE Amsterdam, The Netherlands.
Références
Martinot E, Baptissart M, Véga A, Sèdes L, Rouaisnel B, Vaz F, Saru JP, de Haze A, Baron S,Caira F, Beaudoin C,Volle DH.
Bile acid homeostasis controls CAR signaling pathways in mouse testis through FXRalpha.
Sci Rep. 2017 Feb 9;7:42182. doi: 10.1038/srep42182.